Odontologia Estética
Estética dental tratamentos
Dentística ou odontologia estética é a área da odontologia que atua na restauração da estética dental. Em síntese, os recursos disponíveis para melhorar a estética do sorriso estão o clareamento dental, coroas dentárias, restaurações em resina ou porcelana, cirurgia gengival (gengivectomia), e aplicação das modernas lentes de contato dental.
As modernas lentes de contato dental são lâminas de porcelana ultrafinas, indicadas para correção de problemas estéticos dos dentes, por exemplo:
- Manchas escuras nos dentes causadas por diferentes motivos
- Pequenas fraturas ou lascas
- Assimetrias dentais ou do rosto
- Formato ou tamanho irregulares
- Espaço exagerado entre dentes (diastema)
- Entre outros.
As lentes de contato dental são coladas na superfície de um ou mais dentes defeituosos de forma segura e pouco invasiva. Em virtude de as lentes serem ultrafinas, a instalação exige pouco ou nenhum desgaste dos dentes para então serem coladas.
Naturalidade das lentes de contato dental
As lentes são confeccionadas em porcelana, um melhor material biosseguro utilizado na confecção de próteses dentárias, similarmente comparável aos dentes naturais, tanto pela sua textura e tonalidade, bem como pela sua translucidez.
Dessa forma, se a lente de contato dental for aplicada em apenas um dente defeituoso, ela não ficará em contraste com os dentes naturais vizinhos. É certamente um procedimento estético que veio para mudar completamente o seu sorriso para melhor.
Em conclusão, a última etapa do procedimento é a preparação do dente, a aplicação de cimento odontológico e a colagem da lente de contato dental. A lente de contato dental é bastante durável, desde que o paciente tome os melhores cuidados em não morder objetos muito duros e que faça visitas regulares ao consultório. Alternativamente as facetas podem ser feitas em resina com um acabamento inferior.
Coroas dentárias de porcelana com finalidade estética
Coroas dentárias e blocos de porcelana podem ser realizados em casos de danos aos dentes como dentes quebrados. É muito comum que pacientes com bruxismo precisem de tratamentos estéticos pois podem perder parte do esmalte ou até dentes inteiros pela força aplicada nos dentes.
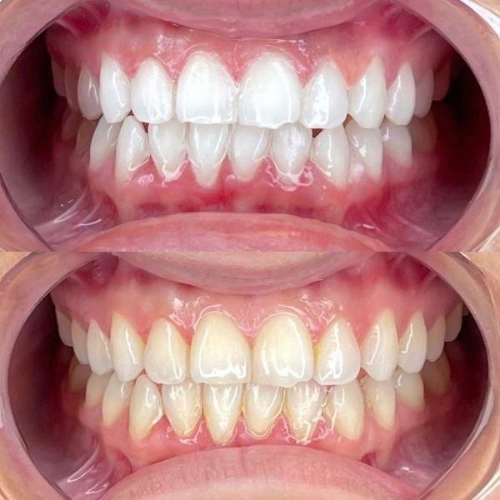
Clareamento Dental
Restaurações Estéticas
Uma restauração estética em resina composta é um procedimento de estética dental no qual um material composto de resina é usado para reparar ou reconstruir a estrutura de um dente comprometido esteticamente.
Essa técnica é frequentemente empregada para corrigir cáries, fraturas ou descolorações, visando restabelecer a forma, função e a aparência natural dos dentes.
Durante o processo, o dentista remove a parte danificada do dente, prepara a área afetada e aplica camadas da resina composta, moldando-as cuidadosamente para garantir uma adaptação perfeita à anatomia dental.
A resina é então endurecida com luz especial ultravioleta.
A vantagem da resina composta reside na sua capacidade de mimetizar a cor e textura dos dentes adjacentes, proporcionando um resultado final estético e duradouro, enquanto preserva a integridade estrutural do dente restaurado.







