Odontopediatria
Qual é o tratamento de odontopediatria mais comum?
Sabendo o que faz esse especialista, você tem alguma dúvida sobre o tratamento de odontopediatria? Essa carreira tem muitos procedimentos englobados e os principais deles são:
1. Aplicação de flúor
O flúor funciona como um protetor para os dentes das crianças, uma vez que ajuda na prevenção de cáries (algo bem comum nesta fase da vida, por conta da alta ingestão de alimentos com açúcares e a dificuldade de fazer uma escovação dental correta nos pequenos).
Tranquilo e indolor, esse método consiste na aplicação de um gel, espuma ou verniz na superfície dos dentes, após análise de risco a cárie que o odontopediatra faz de forma individualizada
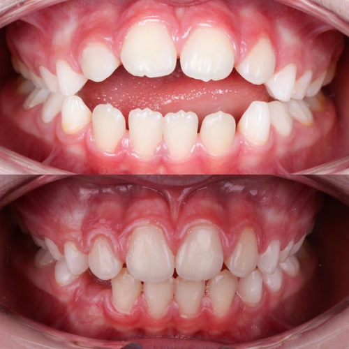
2. Tratamento com aparelhos
O uso de um aparelho de dentes pode ser necessário em qualquer momento de nossas vidas, porém, ele é muito mais recorrente durante a nossa infância e adolescência — sendo recomendado nessa faixa etária pela grande maioria dos dentistas.
Como nossos dentes e ossos são mais moldáveis na fase jovem, isso facilita o sucesso dos tratamentos ortodônticos. Além do mais, reduz consideravelmente o tempo necessário para que a arcada fique alinhada e evita, também, problemas futuros relacionados à mastigação e dores na região do rosto.
3. Limpeza profissional
Não somente os adultos precisam fazer uma limpeza nos dentes. As crianças também precisam e devem. Esse tratamento de odontopediatria é bem comum e ajuda a limpar a região de forma correta.
É um procedimento bem tranquilo e indolor. Mas, é claro, o profissional sempre estará de olho na reação da criança e irá adaptar seu atendimento respeitando o limite de cada um e tratando da melhor maneira possível.
4. Extração de dentes
Ainda sobre o tratamento de odontopediatria, outro procedimento que é muito importante e pode ser feito por este profissional é a extração de dentes.
Normalmente, as crianças têm os chamados “dentes de leite” que caem naturalmente conforme a idade vai avançando. Porém, em alguns casos, é necessário realizar a extração (ou exodontia) dos dentinhos.
Por que levar as crianças ao dentista?
Garantir que os pequenos estejam aptos a realizar algum tratamento de odontopediatria é muito importante. Desta forma, logo no início da vida, eles ficam a par de como é o ambiente da odontologia e a saúde bucal já começa a ser cuidada enquanto jovens.
Outro ponto é o combate à odontofobia — o medo de dentistas. Esse receio é mais comum do que se imagina e cerca de 34 milhões de brasileiros adultos (acima dos 18 anos) perderam 13 ou mais dentes pelo medo da consulta, segundo Dados da Pesquisa Nacional de Saúde, realizada pelo Instituto Brasileiro de Geografia e Estatística (IBGE) e divulgada em 2020.
Com o hábito de ir ao dentista desenvolvido logo quando pequenos, é possível que as crianças cresçam sem esse receio dos profissionais responsáveis pela higiene e saúde bucal.







