Implantes
Atualmente a cirurgia de implante é estudada previamente pelo implantodontista (especialista em implante dental) através dos exames de radiografia panorâmica e tomografia computadorizada do paciente. Portanto, é possível avaliar se o paciente apresenta condições ósseas favoráveis ao uso desta técnica. Entretanto é no momento da cirurgia de implante, através do travamento do implante que é possível garantir que a técnica de carga imediata poderá ser realizada. Dessa forma o profissional poderá ainda alterar a técnica de realização da prótese caso não haja o travamento dos implantes necessários durante a cirurgia. Embora a estrutura óssea seja estudada previamente mediante os exames é apenas durante a cirurgia que pode se aferir a situação óssea real.
Carga imediata – Indicações e planejamento
O tema implante com carga imediata sempre esteve muito presente quando se fala em implantes dentários. O termo está relacionado à realização de pressão, ou seja, carga sobre o implante recém instalado, portanto, de forma imediata à cirurgia. Importante destacar que a decisão de realizar ou não a carga imediata sobre o implante deve vir ser do implantodontista. Partindo do pressuposto que esse é o desejo principal de todos os pacientes, é o implantodontista que deve avaliar certamente as condições propícias para o uso dessa técnica.
Como é realizada a cirurgia de carga imediata com implante dental?
Realiza-se uma cirurgia para instalar os implantes dentários no osso do maxilar. A cirurgia deve transcorrer como uma cirurgia convencional de implante dentário. Previamente à cirurgia é feito um planejamento para uma prótese provisória imediata, para que o paciente nunca fique sem os dentes. Existem pré-requisitos para seja possível utilizar o implante instalado:
- Torque (aperto) suficiente (maior do que 35 N.cm)
- Implante longo (maior do que 11 mm)
- Implante com diâmetro suficiente: Maior do que 3,75 mm
- Planejamento de uma prótese compatível com a capacidade de suportar forças do implante
- Número de implantes suficiente
- Boa distribuição dos implantes na arcada
- Paciente sem sintomas de bruxismo
- Pessoas sem sintomas de doenças que comprometam a cicatrização tecidual e óssea (ex: diabetes)
- Paciente não fumante (fumar prejudica muito a chance de sucesso do implante)
Isto significa que nem todos os casos são bons para carga imediata. Algumas vezes, somente durante a instalação do implante poderemos dizer se ele cumpriu os requisitos para a carga imediata. Sendo assim, em alguns casos a carga imediata pode ser abortada para permitir a cicatrização do implante de forma convencional (entre 4 e 6 meses).
Caso a cirurgia transcorra bem, pode-se então iniciar a prótese provisória ou mesmo definitiva, que exige moldes e medidas da arcada. Normalmente realiza-se a carga imediata com uma prótese provisória e ao final do tempo de cicatrização dos implantes e da gengiva (entre 4 e 6 meses), realizamos a prótese definitiva.
Melhor material para prótese fixa
Atualmente o mais moderno material para prótese fixa é a zircônia. A zircônia é um material biocompatível alinhado à corrente de odontologia biológica que busca evitar o uso de metais nos tratamentos odontológicos. Além disso apresenta alta resistência, planejamento mediante o uso de computação gráfica o que proporciona o que proporciona um resultado estético muito mais natural se comparado aos demais tipos de materiais de prótese dentaria.
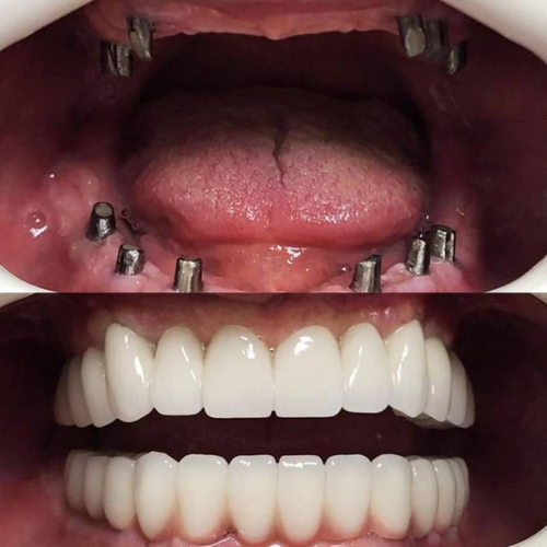
Prótese Protocolo:
O tratamento de prótese protocolo envolve duas etapas, uma cirúrgica, com a inserção dos implantes dentários, e outra protética, com a realização da prótese fixa sobre os implantes. Pode ser realizada tanto na arcada superior quanto na inferior.
Por meio de cirurgia simples e indolor, são inseridos os implantes que irão suportar uma prótese fixa. Normalmente são realizados de 4 a 6 implantes em cada arcada dentaria. A cirurgia é feita em consultório, e o paciente pode ir para casa logo após a cirurgia. Há modalidades com anestesia local, ou com a sedação endovenosa, caso o paciente prefira.
Aqui temos também a opção da realização da cirurgia de implante dentário com técnica da cirurgia guiada computadorizada. Essa técnica dispensa a necessidade de realizar grandes cortes e suturas na gengiva, tornando dessa forma o período pós operatório de implantes mais tranquilo e portanto com recuperação mais rápida. A guia cirúrgica funciona como um gabarito com as indicações dos locais em que devem ser feitas as incisões para colocação dos implantes dentários. A guia cirúrgica é confeccionada de forma personalizada de acordo com imagens de tomografia computadorizada do paciente, por um método de impressão 3D.
Quem pode fazer tratamento com prótese protocolo?
Qualquer pessoa pode fazer protocolo sobre implantes. Primeiramente o paciente deve realizar uma radiografia panorâmica e tomografia computadorizada para avaliação óssea da região a receber o implante dentário. Até mesmo pacientes que tenham diabetes, na maioria das do casos, podem receber implante desde que ela esteja controlada. Por isso, por isso não se assuste caso tenha diabetes, os implantes podem ser uma solução para você também. Claro, isso após uma avaliação cuidadosa de seu quadro de saúde.
O tratamento com implante e prótese protocolo abrange uma grande gama de pacientes, de diversas idades. Portanto os idosos também podem realizá-lo. Apenas deve ser avaliado cada caso com particularidade, para que o procedimento seja sempre seguro e promova bem estar ao paciente.
Quais as vantagens da prótese protocolo?
Quando o uso da prótese móvel traz algum desconforto, seja funcional, estético ou sensorial, há então a oportunidade de substituí-la por uma versão fixa. Veja as vantagens do tratamento com protocolo sobre Implantes:
- Não movimenta e não precisa de adesivos para fixação
- Não cai, evitando experiências constrangedoras
- Os materiais da prótese são mais bonitos e resistentes, especialmente as próteses de zircônia livre de metais.
- Não machuca gengiva e mucosas
- Mais segurança para mastigar, sorrir e beijar
- Melhora a dicção
- Não possui céu da boca acrílico, melhorando a fala e a experimentação dos alimentos
- Aumenta o suporte labial, melhorando o aspecto de boca murcha e lábio fino.







